Smile Gallery


This patient had severely shortened teeth from a lifetime of wear. We restored all of the upper teeth with a combination of crowns and bridges. This will help to protect his teeth from further damage and also restores them to their prior appearance.


Our typical professional whitening protocol includes custom bleach trays, as well as an in-office bleaching session. Patients take home the bleach trays to wear, usually overnight for a period of two weeks. The trays can be kept and worn again over time to maintain the desired shade. Once the patient completes the at home regimen, an in-office session is offered to finish the case and add a final touch of brightness.


This patient had several decayed teeth restored using crowns on the upper front four teeth and tooth colored fillings on the remaining cavities.


Immediate after results following treatment with Juvéderm Ultra XC. Juvéderm is a dermal filler, which is used to add volume to areas of the face in order to enhance features and restore volume lost over time.


Immediate after results following treatment with Juvéderm Ultra XC. Juvéderm is a dermal filler, which is used to add volume to areas of the face in order to enhance features and restore volume lost over time.


This patient wished to restore the years of wear to their lower front teeth. This was able to be completed using minimally invasive techniques due to the patient's bite and prior treatment planning.
Veneers are a porcelain or ceramic partial covering over tooth. Typically veneers are placed on the front side of the tooth for cosmetic purposes.


Having a medical history of acid reflux or bulimia are two common examples which may cause erosive wear to teeth. If erosion becomes severe, it may become advantageous to restore the affected teeth. The most important aspect of this type of treatment is to make sure the underlying cause of the wear is identified and curtailed for the patient's overall health.
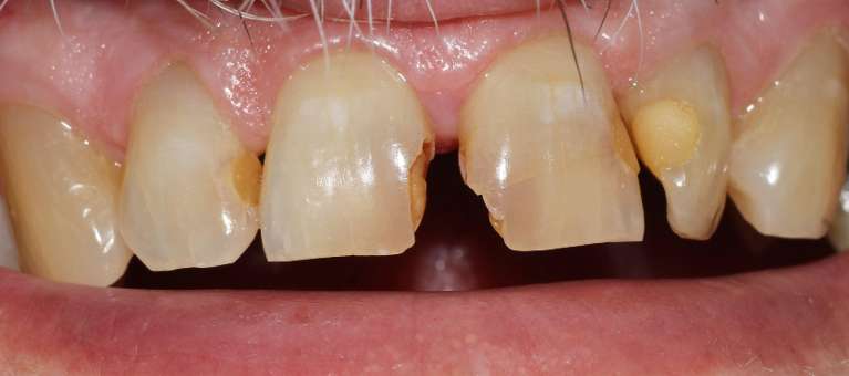
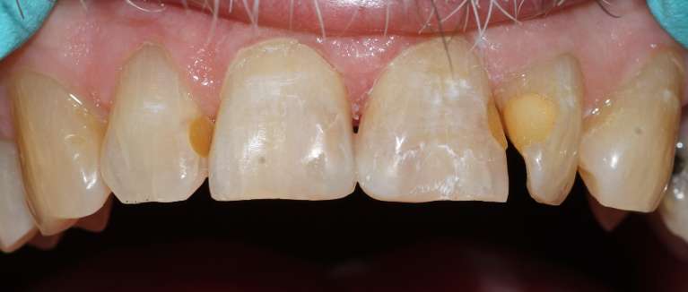
This patient presented with severe wear to their teeth, which was causing them to continually fracture and need to be fixed. After the wear was proven to be controlled for a few years, a combination of crowns and veneers were ...


After several years of severely bruxing their teeth, this patient wished to restore their lost tooth structure. They wished to do something other than dentures, as they wanted to keep as many of their natural teeth as possible, and avoid anything that would be removable. This was achieved by opening the patient's bite with crowns on their natural teeth and replacing the non-restorable teeth with an implant prosthesis. The patient now wears a mouthguard at night to protect their new teeth from repeated wear damage.


This lip enhancement was created using Juvederm Ultra XC dermal filler to the upper and lower lips, as well as completing a "lip flip" using Botox Cosmetic. A lip flip typically requires only three to seven units of Botox. Product is placed quite superficial to inactivate the outer muscle fibers around the lip and create a "flipped" or enlarged appearance, without inhibiting one's ability to smile or function.


This patient presented with restorative needs to their front teeth after sustaining an injury. This was completed using white filling material and was completed in one appointment.
With trauma, it is important to not only address the esthetic needs, but to also follow up and evaluate for possible pulp damage. In this case, a root canal was also required due to injury to the pulp, or nerve, of a tooth, although this did not present itself initially. Always inform your dentist about previous trauma to your teeth or mouth, as issues may not present themselves until many years later.


This patient presented with cavities, which were restored using composite filling material. Composite, or white-colored fillings, match the healthy portions of the tooth so that anyone other than your dentist cannot detect that they are there.


Small changes can make a big impact, as evidenced by this fun case. The patient wished to get rid of the spaces between their teeth and to change the shape of their lateral incisors. This was completed with less than 10 weeks of Invisalign treatment, followed by adding tooth-colored fillings to the smaller lateral teeth.


The rough edges of a long ago fractured teeth caused decay to start forming in between this patient's two central incisors. After decay was removed, tooth-colored fillings were placed to restore the lost tooth structure and give the patient's smile a boost.


A great example of a minimally invasive smile makeover! This case was achieved with Invisalign to eliminate crowding and improve the bite. Composite bonding was then completed to the patient's smaller, lateral incisor teeth.




After years of heavy wear and tear, this patient's teeth were restored using crowns, a bridge, and upper and lower removable partial dentures. He also had a deep cleaning completed and returns every three months for periodontal maintenance visits. He is now able to eat hard foods and enjoy his smile!

